What began as a routine hospital visit for knee pain turned into a shocking medical mystery.
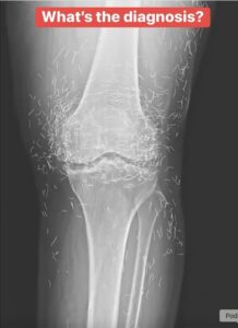
A 65-year-old woman in South Korea expected a simple arthritis diagnosis—but when her X-ray appeared, doctors were stunned.
Her knee joint was filled with dozens of tiny gold needles, leaving everyone wondering how they got there and why they hadn’t been discovered sooner.

The woman had long struggled with osteoarthritis, a condition that causes cartilage to wear down, making movement painful. Frustrated with limited relief from traditional treatments, she turned to acupuncture, hoping for lasting comfort and mobility.
However, instead of using temporary needles, her acupuncturist had implanted fine gold ones beneath her skin permanently, believing they would release healing energy over time. This unusual practice was meant to provide continuous pain relief without repeated sessions.
Doctors explained that leaving metal objects inside the body can lead to serious complications. Permanent implants can cause inflammation, infection, or interfere with medical scans such as MRIs and X-rays.
While acupuncture is generally considered safe when performed by licensed professionals, experts emphasize that it should never involve permanent insertion of needles or materials beneath the skin. Such procedures are not medically approved or supported by scientific evidence.
Fortunately, the woman received proper medical care to manage her inflammation and prevent further complications. Her condition improved once the cause was identified and treated safely.
Her case has since become an example in medical circles of how unverified alternative treatments can carry hidden risks. Even well-meaning methods can lead to harm if not performed under qualified supervision.
This story serves as a reminder that while traditional medicine and natural therapies can complement modern care, safety should always come first. Trusting professional guidance remains essential to protect both health and well-being.